About

I'm a data scientist with a strong background in computer science and machine learning, and with 5+ years of relevant experience on both instruction and implementation of machine learning and software workflows.

Data Scientist

I work on large datasets and develop tools using machine learning and statistical methods to uncover patterns and to generate insights from data.

Computer Scientist

I have deep understanding of computer science fundamentals: programming, data structures, linear algebra and calculus, complexity and computability, databases, networks, numerical analysis, and machine learning.

Software Engineer

I have years of experience in software engineering (full-stack), with exposure to a wide array of technologies and frameworks, in both agile and waterfall environments.

PhD Candidate

I am currently working towards a PhD degree at the University of Oxford. I am analyzing single cell variations and cell-cell interactions in 3D histology using a combination of convolutional neural networks and statistical analyses.

Skills & Technologies

Data Science

Pytorch, Keras/Tensorflow CNN, RNN, VAE, GAN Scikit-learn Numpy Matplotlib, Tableau MLflow SQL Statistical sampling and tests

Software Development

HTML CSS JS AWS Git Swift Django LAMP CI/CD

Programming

Python C/C++ Java Ruby PHP Bash

CV

Education

Doctor of Philosophy (Engineering Science, Biomedical Imaging)

2018 - 2023 (Expected)

University of Oxford, United Kingdom

Ph.D. research in engineering science (biomedical imaging) under the supervision of Prof. Jens Rittscher

THESIS: Learn representations of cell morphology using machine learning techniques to analyze time-series and 3D imaging microscopy and histology data and build tools (using Python, pytorch, numpy, scikit-learn) to support biological and medical hypotheses, particularly on DNA damage and immune response in tumor microenvironments.

Master of Science (Computer Science)

2013 - 2017

University of the Philippines-Diliman, Philippines

Bachelor of Science (Computer Science)

2010 - 2014

University of the Philippines-Diliman, Philippines

Professional Experience

Research Assistant

2021 - Present

University of Oxford, United Kingdom

  • Built deep learning tools and performed statistical analysis to process large datasets (40+ terabytes of 3D histology imaging data) to effectively differentiate between control and treated tissue samples.
  • Facilitated deployment and integration of machine learning tools and Python scripts in the National Institutes of Health for experimental medicine and biological research.
  • Optimized and calibrated experimental setups using data analytics on imaging parameters and image data resolution.
  • Visualized data and communicated the analysis results and potential clinical impact to both experts and non-experts in the biomedical imaging field at an international conference.

Computer Science Instructor

2013 - 2018

University of the Philippines-Diliman, Philippines

  • Instructed 300+ students on computer science fundamentals (Computer Programming, Artificial Intelligence, Assembly Language Programming, Computer Organization, Data Structures, Programming Languages).
  • Assisted in the revision of the computer science curriculum, in particular the artificial intelligence and machine learning course, to bring it up-to-date to newer technologies and industry requirements.

Software Developer

2017 - 2018

University of the Philippines-Diliman, Philippines

  • Performed data modeling from gathered university requirements for staff management, developed and maintained existing core modules (PHP, HTML, CSS, JS) and databases (PostgreSQL) for university class registration.

Software Engineer

2016 - 2018

SUPost, USA

  • Maintained code (bash, PHP, Python, and Ruby) and mySQL database for SUPost e-commerce platform with automated deployment and health-checks of server instances in cloud computing platforms.
  • Designed a cloud-based NoSQL database to speed up queries and display of new advertisements by 15%.
  • Designed and developed an iOS app using Swift to complement the web e-commerce application.

Research Assistant

2015 - 2017

University of the Philippines-Manila, Philippines

  • Built machine learning tools using Tensorflow to detect key regions in microscopy images, integrated tools with existing web (Django) and Android platforms for remote diagnosis.
  • Migrated and deployed web application and machine learning tools to AWS.

Portfolio

  • All
  • Research
  • Software
  • Poster
Profiling DNA Damage in 3D Histology Samples
Kristofer E. delas Penas, Ralf Haeusler, Sally Feng, Valentin Magidson, Mariia Dmitrieva, David Wink, Stephen Lockett, Robert Kinders, Jens Rittscher Presented at MOVI workshop at MICCAI 2022
In this work, we developed an approach based on GLCM and VAE-GAN to capture similarities and subtle differences in cells positive for γH2AX, a common marker for DNA damage. We also investigated a possible quantification of immune and DNA damage response interplay by enumerating CD8+ and γH2AX+ on different scales to differentiate between control and treated tissue samples.
Annotation-free learning of a spatio-temporal manifold of the cell life cycle
Kristofer delas Peñas, Mariia Dmitrieva, Dominic Waithe, Jens Rittscher Manuscript submitted
In this work, we described an approach based on representation learning to construct a manifold of the cell life cycle. Our model uses unlabelled microscopy images derived from a single fluorescence channel and utilizes both the spatial and temporal information in these images to extract information relevant to cell cycle analysis such as staging and estimation of cycle duration.
Automated Detection of Helminth Eggs in Stool Samples Using Convolutional Neural Networks
Kristofer delas Peñas, Elena Villacorte, Pilarita Rivera, Prospero Naval 2020 IEEE Region 10 Conference (TENCON), Osaka, Japan
We utilized YOLO, a convolutional neural network framework, in the detection of helminth eggs in stool samples. We demonstrated that the approach works well despite the variance in imaging conditions in the collected dataset, achieving high sensitivity in the detection of helminth eggs and high accuracy in the identification of egg species.
Automated Stitching of Coral Reef Images and Extraction of Features for Damselfish Shoaling Behavior Analysis
Riza Rae Pineda, Kristofer delas Peñas, Dana Manogan 2020 IEEE Region 10 Conference (TENCON), Osaka, Japan
Motion artifacts and changes in the natural environment are challenges in analyzing visual marine data. To effectively analyze shoaling behavior in damselfish research despite artifacts, we propose a pre-processing system that utilizes color correction and image stitching techniques and extracts behavior features for manual analysis.
Extracting Axial Depth and Trajectory Trend Using Astigmatism, Gaussian Fitting, and CNNs for Protein Tracking
Kristofer Delas Penas, Mariia Dmitrieva, Joël Lefebvre, Helen Zenner, Edward Allgeyer, Martin Booth, Daniel St. Johnston, Jens Rittscher 2020 IEEE 17th International Symposium on Biomedical Imaging (ISBI), Coralville, IA, USA
We presented and contrasted two approaches (gaussian fitting with CNN-based denoising and CNN axial trajectory trend classification) extending the analysis of protein movement to three dimensions by employing astigmatism.
Short Trajectory Segmentation with 1D Unet Framework: Application to Secretory Vesicle Dynamics
Mariia Dmitrieva, Joël Lefebvre, Kristofer Delas Penas, Helen Zenner, Jennifer Richens, Daniel St. Johnston, Jens Rittscher 2020 IEEE 17th International Symposium on Biomedical Imaging (ISBI), Coralville, IA, USA
This paper explores quantification of vesicle dynamics in Drosophila epithelial cells and introduces a novel 1D U-Net based trajectory segmentation. Unlike existing mean squared displacement based methods, our proposed framework is not restricted under the requirement of long trajectories for effective segmentation. The proposed approach achieves 77.7% accuracy for the trajectory segmentation.
Benzalkonium Chloride (BAC) in an Orthodontic Adhesive: Its Effect on Rat Enamel Demineralization using Color-Based Image Analysis Maria Lourdes Torres-Garcia, Lotus D. Llavore, Alice Bungay, Jesus D. Sarol, Jr, Riza Rae Pineda and Kristofer delas Penas American Journal of Orthodontics and Dentofacial Orthopedics. Jan 2019.
The aim of this study was to determine the effect of an orthodontic bonding adhesive containing benzalkonium chloride (BAC) on enamel demineralization. Using image analysis to quantify enamel demineralization, we showed that the non-BAC and BAC groups exhibited greater enamel demineralization compared with the control group.
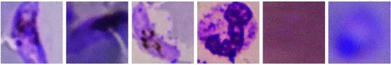
Analysis of Convolutional Neural Networks and Shape Features for Detection and Identification of Malaria Parasites on Thin Blood Smears Delas Peñas K., Rivera P.T., Naval P.C. Intelligent Information and Database Systems, Lecture Notes in Computer Science, vol 10752. Springer. 2018.
In this research, models using convolutional neural networks, and a model using extracted shape features are implemented and compared. The CNN models, one trained from scratch and the other utilizing transfer learning, with accuracies of 92.4% and 93.60%, both outperform the shape feature model in malaria parasite recognition.
Malaria Parasite Detection and Species Identification on Thin Blood Smears Using a Convolutional Neural Network Delas Peñas K., Rivera P.T., Naval P.C. 2017 IEEE/ACM International Conference on Connected Health: Applications, Systems and Engineering Technologies (CHASE), Philadelphia, PA, USA
This study proposes an intelligent system to detect malaria parasites in images of thin blood smears. We used Inceptionv2 CNN and demonstrated an accuracy of 92.4% and sensitivity of 95.2% for malaria parasite detection, and an accuracy of 87.9% for identifying the two species Plasmodium falciparum and Plasmodium vivax.
UP Department of Computer Science Website
Revamped the official department website using bootstrap, SCSS, JS, and Django CMS.
Cell Detection and Instance Segmentation in a Memory-Constrained Environment using YOLO, UNet, DeepLab, and Conditional Random Fields
Kristofer delas Penas, Dominic Waithe
This project examined different deep learning techniques for cell detection and segmentation on resource-constrained environments such as the NVIDIA Jetson TX2.
Focus Measure (C++)
A C++ implementation of focus measure: a collection of metrics to determine the sharpest contrast in z-stacks and optical planes.